هوش مصنوعی قابلیتهای بسیار بالایی دارد که مهمترین ویژگی آن یادگیری است. با توجه به دادههایی که به سیستمها و الگوریتمهای هوش مصنوعی داده میشود همواره میتوان قدرت آن را بیشتر کرد و آن را برای اموری تربیت کرد تا بتواند در زندگی ما تأثیری شگفت و شاید نجات دهنده داشته باشد.
یکی از مواردی که به تازگی دانشمندان در آن رو به استفاده از هوش مصنوعی آوردهاند در زمینه شناسایی خونریزی مغزی و تشخیص سریع بیماران در حین تصادفات است.
طی تحقیقی جدید که در همکاری بین دانشمندان دانشگاه UC Berkeley و UCSF صورت گرفته این دانشمندان الگوریتم هوش مصنوعی را توسعه دادهاند که ادعا میشود میتواند صحت تشخیصی بهتر از دو تا چهار متخصص رادیولوژیست داشته باشد.
اما همانطور که گفتیم مهمترین نکته مورد استفاده در این الگورتیم بهرهگیری از دادههای به خوبی بسط داده شده و بسیار جزئی از بیماران قبلی است که برای این سیستم قبلی تهیه شده و برای آموزش در اختیار سیستم هوش مصنوعی قرار داده شده است.
این سیستم برای دریافت دادههای آموزش خود اطلاعات جمعآوری شده از بیش از 4396 نمونه CT Scan که از قبل مورد واکاوی دادهای قرار گرفتهاند را مورد پردازش قرار داده و سپس از آنها الگوی خود برای شناسایی خونریزی مغزی را استخراج میکند.

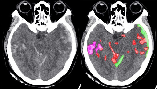
در این حالت هنگامی که تصویر CT Scan مغزی فرد به الگوریتم داده میشود با توجه به شناسایی نقاط آسیب دیده در سطح پیکسل، سعی میشود تا احتمال وقوع خونریزی مغزی را مورد کاوش قرار داده و در صورتی که به سطحی از اطمینان رسیدیم، اعلام خونریزی در آن ناحیه مغزی صورت میگیرد.
نکته بسیار مهم آن است که پس از اینکه یک فرآیند تشخیصی توسط این الگوریتم به پایان رسد، سیستم با دادههای جدید تلاش میکند تا صحت عملکرد خود را بالاتر ببرد و این بدان معناست که هر چه بیشتر از این سیستم استفاده کنیم، دقت آن بالاتر رفته و میتواند در دراز مدت به کاملترین سیستم برای شناسایی خونریزی مغزی تبدیل شود.
استفاده از دادهها در حجم وسیع و مقایسه آنها با هم بزرگترین و اصلیترین ایده در هوش مصنوعی یادگیر است که به واسطه آن هر سیستمی توانایی این را خواهد داشت که با آموزش بیشتر، عملکرد خود با دقت بیشتری ادامه و گسترش دهد. مسلماً در آینده پیشرفتهای بسیار بیشتری از این سیستم را شاهد خواهیم بود و خبرهای بیشتری از استفاده از این ساختار در زمینههای مرتبط بهعلوم دیگر بسیار گسترش خواهند یافت.













نظر خود را اضافه کنید.
برای ارسال نظر وارد شوید
ارسال نظر بدون عضویت در سایت